Fig. 6
From: Ultrasonography of kidney and spleen in clinically healthy llamas and alpacas

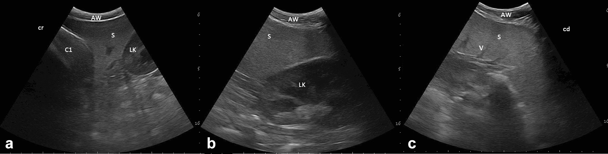
Sonographic appearance of the spleen in sagittal view in a 6 year-old alpaca. a The spleen (S), as viewed from the left paralumbar fossa, is caudal to the wall of compartment 1 (C1) and b craniolateral to the left kidney (LK). c The bend of the splenic tissue in the medial direction. AW abdominal wall, V vessel, cr cranial, cd caudal, 6.6 MHz